If you are having a dental issue or concern after our office hours, here are some general instructions which may help out until you can be seen at our office.
If none of these topics below help you, feel free to call our after-hours call service (703-594-1119) to be connected to your dentist.
When calling...
Please be sure to give the name of your dentist so you can be connected.
Please note that calls will be returned only up to 10 p.m.
Also please note that we are able to call only patients of record (and not for any person who has not been seen at our office.)

If a dental crown breaks off or a filling falls out, seek dental help as soon as possible so that bacteria and other contaminants do not invade the vulnerable area. A lost crown should be replaced as quickly as possible in order to prevent further decay of the remaining tooth structure.
If possible save the crown (or cracked portion) and bring it to the office. Sometimes a crown can be re-cemented on if there is no cavity or broken tooth.
Please do not attempt to glue the crown back on yourself. This could make it impossible for us to get the crown on correctly without cutting the new glue / cement off. Call the office first thing in the morning to setup an appointment.
[RETURN TO LIST]
If your temporary crown comes off, please try to save it if possible. Your tooth may be sensitive if the temporary crown comes off. If you are unable to see us to have the temporary crown placed back on, or if you are out of town, you can place the temporary crown back on using toothpaste (or temporary dental cement sold at pharmacies) until you can see us.
Be very careful so as to not swallow the temporary crown. Do not super glue a temporary crown on or it may require going through the process of impressions and waiting for a new final crown to be made again.
It is ideal to tell your dentist and get the temporary crown placed back onto the tooth in order to keep teeth from shifting.
Going 1-3 days without a temporary crown will not harm the tooth but the tooth may be sensitive and it is ideal to put the temporary crown back on as soon as possible in order to keep teeth from shifting and allowing the final crown to have the best fit possible. Call the office first thing in the morning to setup an appointment.
[RETURN TO LIST]
If a filling breaks or falls out, seek dental help as soon as possible so that bacteria and other contaminants do not invade the vulnerable area. A broken / lost filling should be replaced as quickly as possible in order to prevent further decay of the remaining tooth structure.
If possible save the filling (or cracked portion) and bring it to the office. Call the office first thing in the morning to setup an appointment.
[RETURN TO LIST]
If you experience a severe headache soon after getting a new filling or crown or appliance (such as a new night guard or clear aligner) from a dental visit, it may be that the new filling or crown or appliance needs to be adjusted. It could also be that you have something else unrelated to that visit or new filling or crown or appliance.
Until you can come in to the office to have the filling or crown examined, avoid hard or chewy foods. If you recently received a new appliance (such as night guard or clear aligners) then discontinue use of that appliance and make an appointment as soon as possible.
Take an over the counter pain reliever to help relieve pain if needed. Call the office first thing in the morning to setup an appointment.
[RETURN TO LIST]
If a toothache comes late at night, you will want to be seen by a dentist as quickly as possible. A toothache is not only bothersome because of the pain, but it causes the inability to eat and may make it impossible to sleep.
Also, a toothache is not normal and may be a sign that there is a more serious problem with a tooth, which may need treatment and/or a root canal treatment. Call the office first thing in the morning to setup an appointment.
[RETURN TO LIST]
A dental abscess is a bacterial infection that has taken place around a tooth or in the gums. It causes the formation of pus around the infection. Abscesses are serious, because they can trap an infection under the gumline and can affect nearby teeth, jawbone, and the bloodstream. If a noticeable bulge forms and it brings pain and a fever, seek emergency dental help - this can become life-threatening due to the proximity to the brain. If this occurs after office hours, go to an emergency room / doctor.
If the swelling is severe and is causing your airway to be obstructed or difficulty breathing you need to go to the emergency room right away, and then call the office afterwards to setup an appointment. If the swelling is not severe, rinse your mouth with warm salt water and put a cold compress on the area that is swelled. Treat the pain with over-the-counter pain relievers until you are able to receive dental care. Call the office first thing in the morning to setup an appointment.
Normally, antibiotics and a root canal will relieve the pain, pressure, and infection from an abscess. In extreme cases, extraction of the tooth may be necessary in order to prevent the spread of infection.
[RETURN TO LIST]
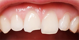
If a tooth gets chipped, breaks, or becomes cracked, save any pieces (if possible). Rinse out your mouth with warm saltwater, and bring the chipped portion (if possible) to the dentist in a glass of milk or a wet folded paper towel.
If you experience persistent bleeding, apply gauze for 10 minutes or until the bleeding stops. Apply an ice pack to the area to aid in reducing any swelling.
If the chip edge in your mouth catches on your tongue or cheek and causes discomfort, apply gauze over it to protect the inside of your mouth.
Take an over-the-counter pain reliever to minimize discomfort. Call the office first thing in the morning to setup an appointment.
[RETURN TO LIST]
If the person has other injuries that are more life threatening (e.g. concussion, bleeding, trauma), call 911 immediately, and get them to emergency services.
If the person who has lost their tooth is aware, has no other issues that take precedence, then call the office first thing in the morning to setup an appointment and follow these instructions:
In the meantime (assuming this happened outside office hours): Retrieve the tooth and gently rinse the root with water. Do not scrub the tooth or remove any attached tissue. Try to put the tooth back in the socket with it facing the right way, but never force it.
If you're unable to reinsert it, place the tooth in a cup of milk or saltwater. Because knocked out teeth have the highest chance of being saved when they replaced within 1 hour, seek care immediately from an emergency room / doctor. Call the office first thing in the morning to setup an appointment for followup care.
[RETURN TO LIST]
A tooth that is pushed in, out, or towards the front or back need to be treated by a dentist. The longer a tooth is left out of alignment, the more difficult it will become to reposition it back to its original location due to inflammation.
Most of the time the tooth will have to be repositioned into alignment and then splinted in place for a few weeks. A root canal may also be necessary in the future. Call the office first thing in the morning to setup an appointment.
[RETURN TO LIST]
Generally speaking, you should come in to be seen as soon as possible when you first notice pain or discomfort in or around your mouth. Calling the office first thing in the morning (rather than close to the end of the day) will make it more likely you will be seen the same day.
If you are having an emergency outside normal office hours, you should gauge whether you need to go to an emergency room / doctor, or if you can wait until the office reopens. If you are not certain then we recommend that you seek out an emergency room / doctor just to be on the safe side.
Generally speaking, over-the-counter pain relievers are appropriate (unless you have been instructed otherwise by your physician.) Call the office first thing in the morning to setup an appointment.
If none of these topics here help you, feel free to call our after-hours call service (703-594-1119) to be connected to your dentist.
When calling...